
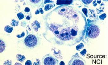
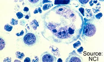
Mantle Cell Lymphoma
Latest News
Latest Videos
More News

The FDA has approved the novel pan-HDAC inhibitor belinostat for the treatment of patients with relapsed or refractory peripheral T-cell lymphoma.

The FDA has approved the radioactive diagnostic imaging agent Lymphoseek injection to guide sentinel lymph node biopsy in patients with cancer of the head and neck.

Jennifer Woyach, MD, assistant professor of Internal Medicine, Division of Hematology, The Ohio State University Comprehensive Cancer Center, discusses the efficacy findings from the RESONATE trial, a phase III trial that compared ibrutinib versus ofatumumab in relapsed or refractory (R/R) chronic lymphocytic leukemia/small lymphocytic lymphoma.

Filip Janku, MD, PhD, discusses a trial presented at the 2014 ASCO Annual Meeting looking at the activity of the mTOR inhibitor sirolimus and HDAC inhibitor vorinostat in heavily pretreated patients with refractory Hodgkin lymphoma.

A phase III study exploring the chemotherapy regimen DHAP plus ofatumumab failed to meet its primary endpoint of prolongation in PFS when compared with DHAP plus rituximab for patients with relapsed or refractory DLBCL.

Anas Younes, MD, chief, Lymphoma Service, Memorial Sloan Kettering Cancer Center, discusses the implications of ibrutinib’s approval for patients with mantle cell lymphoma (MCL).

Jasmine Zain, MD, from the Center for the Lymphoid Malignancies, Columbia University Medical Center, discusses two ongoing trials in T-cell lymphomas.

Ari Melnick, MD, a professor of medicine at the Weill Cornell Medical College, discusses the challenges associated with measuring tumor heterogeneity.

Andre Goy, MD, chairman, director, and chief of the Lymphoma Division at the John Theurer Cancer Center, discusses the treatment of elderly patients with lymphoma.

Screening for prostate-specific antigen (PSA) significantly cuts the death rate from prostate cancer, but at the same time, America’s medical community should work harder to avoid the screen’s potential pitfalls.

Alessandra Ferrajoli, MD, associate professor, Department of Leukemia, Division of Cancer Medicine, The University of Texas MD Anderson Cancer Center, discusses the management of chronic lymphocytic leukemia (CLL) in elderly patients.

The non-Hodgkin’s lymphomas are a diverse and heterogeneous group of neoplasms most commonly originating in B lymphocytes (80%-85%), but also in T lymphocytes (15%-20%), and, rarely, in natural killer cells.

With the growing knowledge of immune system components, signaling processes, and regulatory networks, cancer immunotherapy has yielded increasingly favorable treatment outcomes.

Anas Younes, MD, chief, Lymphoma Service, Memorial Sloan Kettering Cancer Center, discusses treatment with idelalisib for chronic lymphocytic leukemia (CLL) and indolent non-Hodgkin lymphoma (iNHL)

Ari Melnick, MD, a professor of medicine at the Weill Cornell Medical College, discusses EZH2 and its potential as a target in diffuse large B cell lymphoma

The intravenous pan-HDAC inhibitor belinostat (Beleodaq) as a treatment for patients with relapsed or refractory peripheral T-cell lymphoma (PTCL) has received a priority review designation from the FDA.

Jasmine Zain, MD, discusses how her institution is working on improving the outcome of patients with T cell lymphoma that undergo transplants.

Several oral drugs are in development for both non-Hodgkin lymphoma (NHL) and mantle cell lymphoma (MCL). “There is different activity in different lymphoma types with different oral drugs and antibodies in development,†said Andrew D. Zelenetz, MD, PhD.

Brentuximab vedotin, an anti-CD30 monoclonal antibody, has demonstrated antitumor activity in the setting of relapsed or refractory diffuse large B-cell lymphoma (DLBCL) and has generated responses across a broad range of CD30 expression, including low or undetectable CD30 expression. Data from an ongoing phase II study were presented by Nancy Bartlett, MD, at the 55th annual meeting of the American Society of Hematology (ASH).

Jennifer E. Amengual, MD, discusses the study she presented at the 2013 American Society of Hematology (ASH) Annual Meeting. The trial analyzed dual targeting with the HDAC inhibitor ACY-1215 and bortezomib in preclinical models of lymphoma.

Marcel R.M. van den Brink, MD, PhD, Head, Division of Hematologic Oncology, Alan N. Houghton Chair, Memorial Sloan-Kettering Cancer Center, highlights two studies that will be presented at the 2013 American Society of Hematology (ASH) Meeting.

The FDA has granted an accelerated approval to ibrutinib as a treatment for patients with mantle cell lymphoma who have received at least one prior therapy, based on a single-arm clinical trial demonstrating a durable improvement in ORR.

The efficacy and safety of adding the experimental agent brentuximab vedotin (Adcetris) to standard chemotherapy to treat patients with newly diagnosed diffuse large B-cell lymphoma (DLBCL) is being evaluated in a randomized, open-label phase II trial.

The long-term prognosis for most patients with mantle cell lymphoma (MCL) is poor, with median overall survival rates of 3 to 5 years. Because treatment is not curative, almost all patients will experience a relapse or find that their disease is refractory to treatment.

Ari M. Melnick, MD, from Weill Cornell Medical College, comments on emerging therapies for the treatment of mantle cell lymphoma.

















































